Virali
Linfocisti


Agente: Lymphocystivirus (Iridoviridae).
Sintomi: Colpisce il novellame di orata primario, causando noduli bianco/grigi sulla pelle (fibroblasti ipertrofici dovuti alla replicazione virale). Elevata morbilità ma molto
bassa mortalità.
Controllo: Nessun trattamento; di solito si risolve da solo, riduce al minimo la manipolazione e lo stress
Necrosi nervosa virale (VNN)


Agente: Virus della necrosi nervosa/ Nodavirus (Nodaviridae).
Sintomi: Colpisce la spigola (soprattutto il novellame), l'orata e altre specie. È una malattia dell'acqua calda (≥18-20°C) a trasmissione orizzontale e verticale. Provoca nuoto irregolare e alterato, congestione cerebrale, distensione della vescica natatoria, congestione cerebrale e talvolta lesioni ulcerative sulla testa. Il tasso di mortalità può raggiungere il 100% nelle larve. Gli adulti possono essere portatori asintomatici.
Controllo: La prevenzione si basa sulla vaccinazione, sullo screening dei riproduttori e sull'utilizzo della diagnostica PCR prima dell'ingresso dei giovani.
Fungine
Saprolegniasi


Agente: Saprolegnia spp. (Saprolegniales, Oomycete).
Sintomi: Un fungo comune nei pesci d'acqua dolce, colpisce solo l'orata in condizioni di salinità molto bassa, come durante le forti piogge in ambienti di estuario (il significato patologico è minimo nelle specie marine).
Controllo: La prevenzione consiste nel ridurre al minimo l'afflusso di acqua dolce durante le piogge.
Batteriche
Lattococcosi


Agente: Lactococcus garvieae (Streptococcaceae, cocchi Gram-positivi).
Sintomi: Provoca perdite economiche significative. I focolai si manifestano con un'infezione setticemico-emorragica con alta morbilità e mortalità molto elevata nelle fasi di crescita. Le lesioni interne comprendono emorragie, esoftalmia, nuoto irregolare e oscuramento. Comune in acqua calda (>15°C).
Controllo: La prevenzione si basa sulla vaccinazione. La risposta alla terapia antibiotica è variabile.
Vibriosi


Agente: Vibrio anguillarum, Vibrio harveyi (Vibrionaceae, bacilli a bastoncino Gram-negativi).
Sintomi: Una malattia dell'acqua calda esacerbata dalle fluttuazioni di temperatura. Si diffonde attraverso l'acqua di mare. Le lesioni comprendono splenomegalia, congestione esterna e interna ed emorragie della pelle e del grasso periviscerale.
Controllo: Gli antibiotici orali e la vaccinazione sono efficaci.
Nocardiosi


Agente: Nocardia seriolae e Nocardia spp. (Nocardiaceae, batteri Gram-positivi, parzialmente resistenti agli acidi-alcol, ramificati e/o filamentosi lunghi).
Sintomi: Una malattia cronica caratterizzata da lesioni esterne ulcerative o casistiche e granulomi negli organi interni.
Controllo: Il trattamento con antibiotici è impegnativo e i pesci colpiti dovrebbero
essere abbattuto.
Micobatteriosi


Agente: Mycobacterium spp. (Mycobacteriaceae, piccoli bacilli a forma di bastoncino Gram-positivi resistenti agli acidi-alcol).
Sintomi: Una malattia cronica caratterizzata da lesioni emorragiche e ulcerative esterne, perdita di peso e granulomi negli organi interni. Si verifica in acqua calda. I micobatteri sono zoonotici, quindi i pesci colpiti devono essere prontamente rimossi. Alcune specie di Mycobacterium sono pigmentate di giallo o arancione quando vengono coltivate.
Controllo: Il trattamento è impegnativo, scarsa risposta agli antibiotici.
Aeromoniosi


Agente: Aeromonas salmonicida subsp. salmonicida (Furunculosis), Aeromonas veronii e Aeromonas sobria (Aeromonadaceae, bacilli a forma di bastoncino Gram-negativi).
Sintomi: I sintomi includono congestione ventrale, emorragie, infiammazione della milza e congestione del grasso periviscerale.
Controllo: Il trattamento antibiotico è efficace.
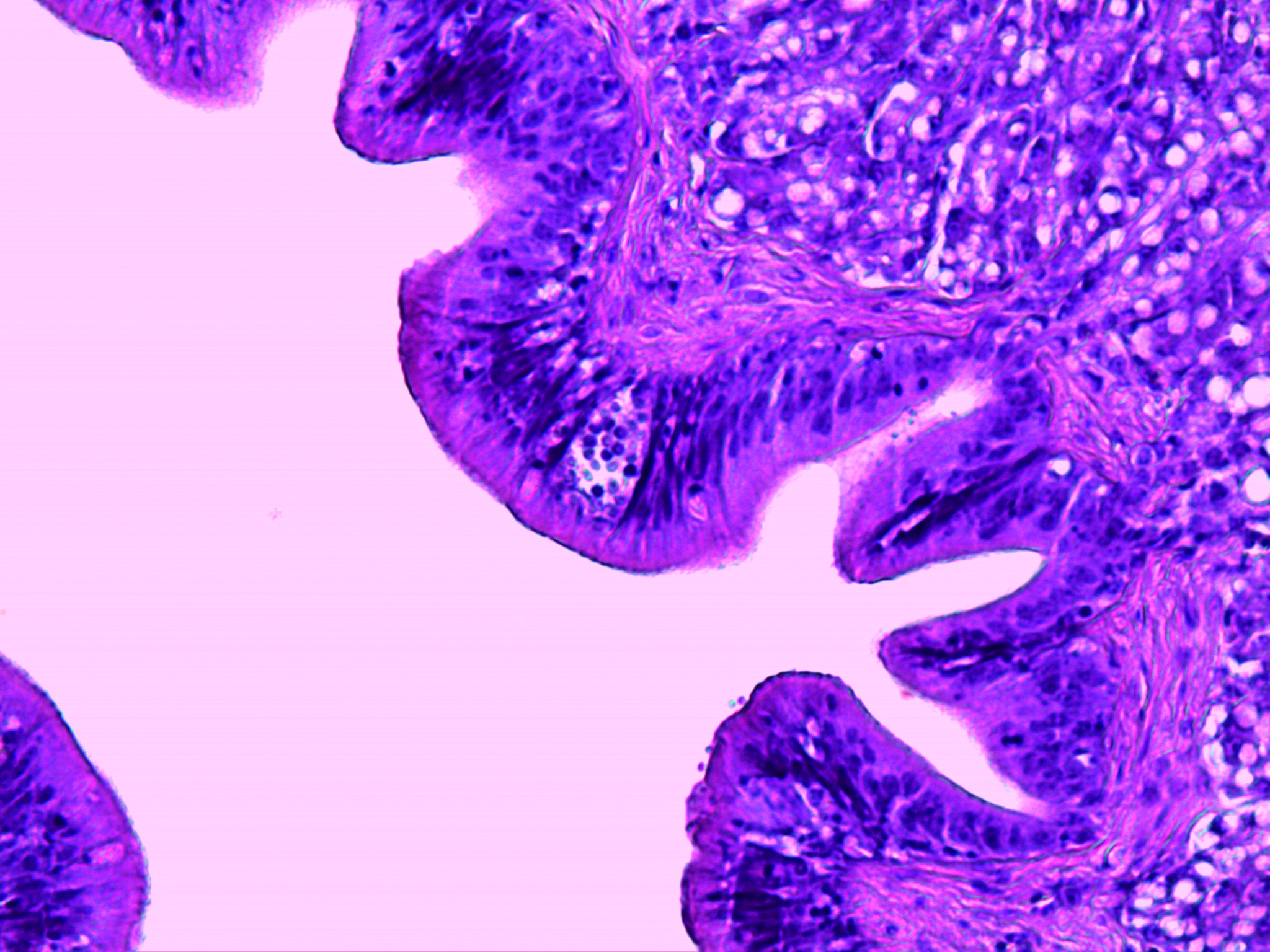
Epiteliocisto


Agente: Ordinare Clamidie (obbligare i patogeni batterici intracellulari). Tradizionalmente, i batteri del phylum Chlamydiae erano gli unici agenti patogeni noti, ma l'eziologia è ora riconosciuta come più complessa, includendo una serie di Proteobacteria.
Sintomi: Sono colpite l'orata e, meno comunemente, la spigola. Causato da un batterio intracellulare che si replica all'interno delle cellule epiteliali branchiali, portando all'ipertrofia e compromettendo la funzione branchiale. Le infezioni gravi possono causare iperventilazione e mortalità.
Controllo: La risposta alla terapia antibiotica è variabile. Non è disponibile alcun vaccino.
Fotobatteriosi


Agente: Photobacterium damselae subsp. piscicida (Vibrionaceae, bacilli a forma di bastoncello Gram-negativi).
Sintomi: Colpisce spigole e orate. Comuni in acqua calda (>18-19ºC), i focolai sono normalmente collegati a sbalzi di temperatura.
Le lesioni comprendono un'intensa infiammazione della milza con granulomi. Nei casi iperacuti, l'infiammazione splenica può essere assente.
Controllo: Il trattamento antibiotico e i vaccini sono efficaci, anche se la protezione potrebbe non essere sufficiente nei pesci di grossa taglia (>2 anni in acqua).
Tenacibaculosi


Agente: Tenacibaculum maritimum e Tenacibaculum spp. (Flavobacteriaceae, bacilli Gram-negativi lunghi e sottili a forma di bastoncino).
Sintomi: Più frequente in inverno e in primavera, questa malattia può manifestarsi in qualsiasi momento, come contaminazione secondaria di erosioni cutanee. I giovani orate e spigole mostrano diversi segni clinici esterni tra cui erosione della bocca, erosioni epidermiche e ulcere, necrosi delle pinne e marciume della coda. I pesci più grandi possono mostrare tessuto branchiale giallastro necrotico.
Controllo: La prevenzione include la riduzione dello stress e la vaccinazione dei giovani. A seconda della normativa del paese, è possibile utilizzare la vasca esterna.
Parassitarie
Criptocarionosi

Agente: Cryptocaryon irritans (Cryptocaryonidae, parassita Ciliato).
Sintomi: Protozoo ciliato che forma noduli biancastri visibili sulla pelle e sulle branchie, principalmente in estate. La trasmissione orizzontale avviene da pesce a pesce. Il ciclo di vita è influenzato dalla temperatura, dalla salinità e dal fotoperiodo. La diagnosi consiste nell'osservare trofoni o tomont in campioni di pelle e branchie.
Controllo: A seconda della normativa del paese, è possibile utilizzare la vasca esterna.
Parassitosi monogenea

Agente: Furnestinia echeneis / Diplectanum aequans / Calceostoma sp. / Sparicotyle chrisophrii / Sciaenocotyle pancerii.
Sintomi: Parassiti del verme piatto che si trovano sulle branchie dei pesci (pinne branchiali), che si nutrono di muco e sangue. Alte infestazioni possono causare problemi respiratori e anemia, con un aumento della mortalità in primavera e all'inizio dell'estate.
Controllo: A seconda della normativa nazionale, è possibile utilizzare un bagno esterno o un mangime antiparassitario.
Parassitosi dei crostacei dei copepodi


Agente: Caligus spp. e Lernanthropus kroyeri (parassita dei crostacei copepodi).
Sintomi: Metazoi che infestano il cavo orale (Caligus spp.) e le branchie (L. kroyeri). La mortalità è bassa, ma possono ridurre l'efficienza alimentare.
Controllo: A seconda della normativa nazionale, è possibile utilizzare un bagno esterno o un mangime antiparassitario.
Parassiti dei crostacei isopodi

Agente: Ceratothoa spp., Nerocila spp., Anilocra spp. (Parassita isopode dei crostacei).
Sintomi: Parassitare la cavità orale (Ceratothoa spp.) o la pelle (Nerocila spp., Anilocra spp.) principalmente in estate.
Controllo: La prevenzione consiste nella separazione di pesci di diverse dimensioni per ridurre la trasmissione.
Parassitosi Trematode Digenean


Agente: Cardicola aurata (Sanguinicolidae, parassita Digeneano).
Sintomi: I parassiti adulti risiedono nel cuore e nei principali vasi sanguigni dell'orata. Le loro uova viaggiano attraverso il flusso sanguigno per raggiungere i capillari branchiali, causando la rottura dei capillari e consentendo alle larve di uscire nell'ambiente, provocando la cosiddetta "sindrome delle branchie bianche". La diagnosi viene effettuata osservando le uova nei capillari branchiali in preparazioni fresche.
Controllo: Nessun trattamento.
Microsporidiosi digestiva

Agente: Enterospora nucleophila (Enterocytozoonidae, parassita Microsporodiano).
Sintomi: Il protozoo intranucleare risiede all'interno dei nuclei degli enterociti e delle cellule rodlet nel tratto digestivo dell'orata. I pesci colpiti mostrano deperimento e grave anemia.
Appare durante l'inverno, ma la malattia può diventare più grave quando le temperature aumentano.
Controllo: Nessun trattamento. La prevenzione consiste nella separazione di pesci di diverse dimensioni per ridurre la trasmissione.
Enteromixosi


Agente: Enteromyxum leei (Myxidiidae, parassita istozoico dei mixozoi).
Sintomi: Questo parassita mixosporeo infetta la mucosa intestinale dell'orata causando una grave perdita di peso e un'elevata mortalità. La spigola può fungere da vettore senza essere influenzata. La trasmissione orizzontale avviene tra i pesci attraverso forme pre-sporogoniche espulse in pacchetti fecali, piuttosto che spore tipiche di altri mixosporei. Le spore mature hanno una caratteristica forma a "croissant" con capsule polari alle estremità.
Controllo: Nessun trattamento. La prevenzione consiste nella separazione di pesci di diverse dimensioni per ridurre la trasmissione, la pulizia delle reti e la rimozione della mortalità.
Amiloodiniasi

Agente: Amyloodinium ocellatum (Thoracosphaeraceae, parassita dinoflagellato).
Sintomi: Un dinoflagellato che colpisce molte specie marine, principalmente nei sistemi di allevamento estensivo. La mortalità può essere elevata. Il ciclo di vita assomiglia a quello del Cryptocaryon irritans. La diagnosi consiste nell'osservare i trofoni in campioni di branchie e pelle fresche.
Controllo: A seconda della normativa del paese, è possibile utilizzare la vasca esterna.
Altri endoparassiti

- Ceratomyxa sparusaurati, C. diplodae, C. labracis: mixosporei celozoici trovati nella cistifellea. In genere hanno scarso significato patologico.
- Polisporoplasma sparis e Leptotheca sparidarum: Mixosporee che si trovano nel rene dell'orata (P. sparis), nel parenchima e nei tubuli (L. sparidarum). Osservato durante il pre-ingrasso ad alte temperature.
- Cryptosporidium molnari: Si trova nel tratto digestivo delle post-larve e dei giovani di orata e spigola, causando problemi di crescita e mortalità. Di solito si risolvono nel tempo.
- Pleistophora senegalensis / Glugea sp.: Microsporidi che formano xenomi nel tessuto muscolare dell'orata.
- Coccidiosi (Eimeria spp.): protozoi intestinali che possono causare grave cachessia nella spigola. Comune negli ambienti di estuario.
Altro
Malattia invernale

Agente: Problema multifattoriale.
Sintomi: Colpisce l'orata da dicembre ad aprile a causa dello stress da freddo. Decorre con nuoto irregolare, distensione addominale, fegato pallido e dilatazione del tratto digestivo con cordoni mucosi biancastri. La mortalità può insorgere a causa di fattori combinati come stress termico, squilibri metabolici, carenze nutrizionali e infezioni secondarie. I pesci del primo anno sperimentano una mortalità più elevata rispetto ai pesci più anziani.
Controllo: Le misure preventive includono la preparazione del pesce per l'inverno con diete specializzate.
Sindrome della morte improvvisa

Agente: La causa non è chiara, ma può riguardare la predisposizione genetica, i sistemi di allevamento o problemi cardiaci.
Sintomi: Comune nella spigola, associato a fattori di stress improvvisi (tempeste, manipolazione, predatori). La mortalità può verificarsi rapidamente, con pesci che mostrano iperattività, nuoto irregolare e branchie rosse.
Controllo: La prevenzione si concentra sulla riduzione dei fattori di stress.
Eruzione cutanea ulcerosa - "Sindrome da punto rosso"


Agente: La causa è sconosciuta, ma può coinvolgere organismi simili alla rickettsia (RLO), reazioni allergiche o problemi autoimmuni.
Sintomi: Una malattia osservata nell'orata in gabbie galleggianti, principalmente durante l'inverno e la primavera. I pesci sviluppano lesioni emorragiche, erosive e ulcerative che si espandono. Le lesioni in genere guariscono con l'aumento delle temperature. La morbilità può essere elevata, anche se la mortalità è solitamente bassa.
Controllo: Le misure preventive includono la preparazione del pesce per l'inverno con diete specializzate.
Granulomi sistemici


Agente: La causa è sconosciuta. Alcuni potenziali fattori includono agenti infettivi, problemi metabolici, disturbi nutrizionali o problemi autoimmuni.
Sintomi: Comune nell'ombrina boccadoro (Argyrosomus regius). I pesci sviluppano noduli bianchi multifocali visibili in tutti i visceri, in particolare nei reni, che possono calcificarsi nel tempo. Microscopicamente, i noduli corrispondono a granulomi di strati concentrici di cellule epitelioidi attorno a un nucleo necrotico.
Controllo: Nessun trattamento.